1. DENTAL IMPLANTS
MULTIPLE TEETH IMPLANTS
SINGLE TOOTH IMPLANT
ALL TEETH IMPLANTS
ALL-ON-4 TECHNOLOGY
COMPUTER GUIDED SURGERY
3. GUMS TREATMENT
LASER DENTISTRY
LASER GUMMY SMILE CORRECTION
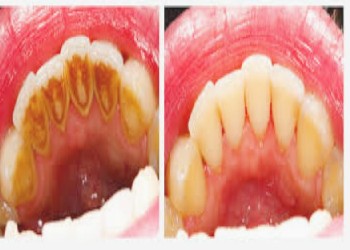
FULL MOUTH SCALING & POLISHING
DEEP CLEANING
GUMS SURGERY
SOCKET PRESERVATION THERAPY
BAD BREATH TREATMENT
ALL TEETH IMPLANTS
LASER GUMS DE PIGMENTATION
MOBILE TEETH SOLUTION WITH SPLINTING
5. MAXILLOFACIAL SURGERY
SIMPLE & SURGICAL TOOTH EXTRACTIONS
SINUS LIFT SURGERY
FACIAL TRAUMA
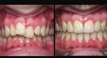
7.ORTHODONTICS TREATMENT
BRACES (METALLIC OR TOOTH COLORED CERAMIC)
LINGUAL BRACES
CLEAR ALIGNERS (INVISIBLE BRACES)
INVISALIGN
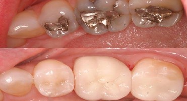
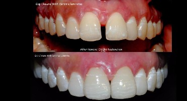
8.CROWNS & BRIDGES